포커스

[AWS 공공서밋 2025 인터뷰] “MRI 분석 시간 ↑”... 에어스메디컬 CFO가 밝힌 글로벌 공략 비결

기사입력 2025.06.27 14:51
촬영시간 절반 줄이면서 화질 향상시키는 SwiftMR 솔루션
AWS 클라우드로 26개국 의료 규제 돌파
4년간 기업가치 4배 성장, 올해 흑자 전환 목표
  • 박장순 에어스메디컬 CFO. /김동원 기자
    ▲ 박장순 에어스메디컬 CFO. /김동원 기자

    “우리 고객들은 하루에 40% 더 많은 MRI 환자를 볼 수 있습니다. 미국 기준으로 연간 약 60만 달러의 추가 수익이 MRI 한 대에서 발생하고 있는 겁니다.”

    박장순 에어스메디컬 최고재무책임자(CFO)의 말이다. 그는 미국 워싱턴 D.C에서 열린 ‘AWS DC 서밋 2025’ 기간 기자와 진행한 인터뷰에서 인공지능(AI) 기술로 MRI 촬영 기반 치료의 효율을 높이고 있다고 밝혔다. 실제로 에어스메디컬은 30~45분 걸리던 MRI 촬영을 절반으로 줄이면서도 화질은 더 선명하게 만드는 AI 기술로 경제적 효과를 창출하고 있다. 

    이를 가능하게 하는 기술이 MRI 가속화 솔루션 ‘SwiftMR’다. 2021년 한국에서 상용화한 이 기술은 미국 진출 2년 만에 전체 매출의 50%를 차지할 정도로 빠르게 성장했다.

    ◇ 서울대 연구실 출발, 글로벌 의료 AI 선도기업으로

    에어스메디컬은 2018년 서울대학교 바이오메디컬 영상과학연구실에서 출발한 의료 AI 스타트업이다. 서울대학교 전기정보공학부와 의과대학 출신 공동창업진들이 모여 같은 해 8월 회사를 설립했다.

    현재 회사는 MRI 가속화 기술을 넘어 종합적인 의료 솔루션으로 사업을 확장하고 있다. 박 CFO는 “이번에 RTQ와 합병을 한 것도 체외 진단 쪽으로의 기술 포트폴리오 확장을 위함”이라며 회사가 단순한 MRI 가속화를 넘어 종합적인 예방 의료 솔루션을 목표로 하고 있다고 밝혔다.

    에어스메디컬은 2020년 페이스북 AI 리서치(FAIR)와 뉴욕대 랑곤의료센터가 공동주최한 MRI 가속복원 챌린지(fastMRI Challenge)에서 전 부문 1위를 달성하며 세계적으로 기술력을 인정받았다. 지금은 미국을 비롯한 26개국 460여 개 의료 기관에 SwiftMR 솔루션을 제공하고 있다.

    그는 “저자장 장비 메이커들 같은 경우에는 지멘스, 필립스, GE 같은 회사들보다 AI 개발에 투입할 수 있는 R&D 역량이 제한적”이라며 “이 때문에 우리와 협력을 선택하는 경우가 늘어나고 있다”고 밝혔다. 실제로 2023년 포나, 올해 2월 이탈리아의 이사호테와 계약을 체결해 앞으로 출시되는 모든 장비에 에어스메디컬의 솔루션이 탑재될 예정이다.

    ◇ 25년 된 구형 MRI도 최신급으로 되살리는 마법

    에어스메디컬의 기술이 주목받는 이유는 단순히 촬영 시간을 줄이는 것을 넘어선다. 가장 큰 차별화 포인트는 25~30년 된 구형 MRI 장비도 업그레이드할 수 있다는 점이다.

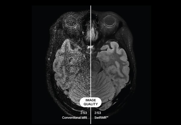
  • 전통적인 MRI 촬영 영상(왼쪽)과 SwiftMR로 노이즈를 제거한 영상(오른쪽) 비교. /에어스메디컬
    ▲ 전통적인 MRI 촬영 영상(왼쪽)과 SwiftMR로 노이즈를 제거한 영상(오른쪽) 비교. /에어스메디컬

    박 CFO는 “일반적으로 MRI 장비의 평균 수명은 13년 정도”라며 “하지만 우리 소프트웨어를 사용하면 최대 20년까지도 사용할 수 있다”고 말했다. 이어 “중고 MRI 장비의 이미지 품질 손실을 AI로 보완해 장비 수명을 연장할 수 있기 때문”이라고 덧붙였다.

    이는 지멘스, GE, 필립스 등 대형 제조사들의 AI 솔루션과는 다른 접근법이다. 제조사들의 AI는 자사 신규 장비의 10~40% 촬영 시퀀스만 가속화할 수 있는 반면, 에어스메디컬은 모든 제조사의 구형 장비까지 포함해 거의 모든 촬영 조건에서 가속화가 가능하다.

    그는 “유럽이나 미국의 대형 이미징 센터들은 수백 개 기관에서 서로 다른 모델의 MRI를 운영한다”면서 “각각 다른 솔루션을 구매하는 것보다 우리 같은 서드파티 벤더 하나와 계약하는 게 훨씬 효율적”이라고 설명했다.

    에어스메디컬의 기술 원리는 MRI의 물리학적 특성을 깊이 이해하는 데서 출발한다. MRI는 촬영 부위에 자기장을 적용해 수소 원자의 진동에서 나오는 파동들을 합쳐 시그널을 만들어내는 방식이다. 충분한 시그널을 얻어야 노이즈가 발생하지 않는데, 에어스메디컬은 시그널을 덜 얻었을 때 발생할 수 있는 수만 가지 노이즈 패턴을 2~3년간 딥러닝으로 학습시켜 어떤 패턴이 나와도 이를 제거할 수 있는 모델을 완성했다.

    확장 가능성도 충분하다. 현재 많이 사용되는 뇌나 척추 시퀀스에서는 80~90%까지 가속이 가능하다. 하반기부터는 전신 MRI를 4~5시간에서 45분으로 줄이는 솔루션을 테스트할 예정이다. 그는 “전신 MRI 촬영을 45분 정도로 줄일 수 있다면 예방 의료 차원에서 정기적인 전신 검진이 현실화될 수 있다”고 전망했다.

    ◇ AWS 클라우드로 글로벌 의료 규제 돌파하며 급성장

    에어스메디컬의 빠른 글로벌 확장 뒤에는 AWS 클라우드 전략이 있다. 의료 영상 데이터의 특성상 보안과 규제 대응이 핵심인데, AWS의 글로벌 인프라가 이를 해결했다.

    박 CFO는 “미국 의료기관들은 데이터를 국외로 반출하는 것을 엄격히 금지한다”면서 “하지만 AWS 버지니아 서버를 활용하면 모든 데이터가 미국 내에서만 처리된다”고 말했다. 각국의 데이터 주권 요구사항을 AWS의 지역별 서버를 통해 자연스럽게 충족할 수 있다는 설명이다.

    기술적으로도 클라우드 기반 서비스의 장점이 크다. 환자 정보를 제거한 영상만 AWS 서버로 전송해 24시간 내 처리 후 삭제하는 방식으로 보안을 유지하면서도, 소프트웨어 업데이트를 실시간으로 제공할 수 있다. 실제로 상용화 후 50번의 업데이트를 2년 반 만에 완료했는데, 이는 다른 국가였다면 미국은 10년, 유럽은 30년이 걸렸을 것이라고 박 CFO는 추정했다.

    특히 한국 식약처의 포괄적 인허가 시스템이 큰 도움이 됐다고 밝혔다. “한국에서는 소프트웨어 업데이트 시 변경 부분만 신고하면 별도 인허가 없이 바로 적용이 가능했다”면서 “만약 다른 나라였다면 50번의 업데이트에 수십 년이 걸렸을 것”이라고 말했다.

    AWS를 선택한 이유에 대해 박 CFO는 “초창기 AWS코리아에서 많은 도움을 줬고, 규모 면에서도 안정성이 있다고 판단했다”며 “AWS 마켓플레이스에도 입점해 고객들이 아마존 크레딧으로 저희 제품을 구매할 수 있는 새로운 관계도 구축했다”고 말했다.

    현재 에어스메디컬은 전체 매출의 7%만 AWS 영상 처리 비용으로 사용하고 있으며, 처리량이 늘어날수록 비용 효율성이 높아지는 구조를 갖추고 있다. 이번 워싱턴 DC 서밋에서는 AWS 정부 관계 담당 임원과 미팅을 통해 공공 의료기관 진출을 위한 협력 방안도 논의했다.

  • 박장순 에어스메디컬 CFO는 “일반적으로 MRI 장비의 평균 수명은 13년 정도”라며 “하지만 우리 소프트웨어를 사용하면 최대 20년까지도 사용할 수 있다”고 말했다. /김동원 기자
    ▲ 박장순 에어스메디컬 CFO는 “일반적으로 MRI 장비의 평균 수명은 13년 정도”라며 “하지만 우리 소프트웨어를 사용하면 최대 20년까지도 사용할 수 있다”고 말했다. /김동원 기자

    ◇ 4년간 기업가치 4배 성장, 올해 흑자 전환 목표

    이런 혁신의 결과로 에어스메디컬은 2022년 시리즈B 253억 원, 2024년 시리즈C 270억 원 투자를 유치하며 4년간 기업가치가 4배 성장했다. ARR(연간 반복 수익)도 38억 원에서 240억 원으로 급증했고, 연결 재무제표 기준 작년 매출은 87억 원을 기록했다.

    박 CFO는 “공시된 본사 재무제표상 작년 매출은 46억 원이지만, 미국과 유럽 법인 매출을 포함한 연결 기준으로는 87억 원”이라며 “현재 연간 지출액이 290억 원 수준인데 ARR이 240억 원까지 늘어나 몇 달 내로 월별 기준으로 BEP 도달이 가능할 것”이라고 전망했다.

    수익성 개선 속도도 빠르다. “올해 말 전에는 월별 매출 기준으로 흑자 전환을 할 예정”이라며 “미국 시장에서의 성과가 가시화되면서 성장과 수익성을 동시에 잡을 수 있을 것”이라고 말했다.

    에어스메디컬은 의료 AI 업계 최초로 클라우드 기반 서비스에 대해 ISO 27001, ISO 27017, ISO 27018 등 국제표준 정보보안 인증 3종을 동시에 획득하는 등 글로벌 진출을 위한 기반도 착실히 다져왔다. 또한 미국, 캐나다, 일본, 호주, 브라질 5개국에 대한 의료기기 단일심사 프로그램 ‘MDSAP’ 인증도 획득해 글로벌 시장 진출 가속화 기반을 마련했다.

    박 CFO는 “하반기나 내년 상반기에 미국 투자사들을 대상으로 한 펀드레이징을 진행할 예정”이라며 “미국 투자자들이 가진 북미와 유럽 시장 인프라를 활용해 더욱 적극적인 글로벌 확장을 추진하겠다”고 밝혔다.

    진단 보조 분야로의 사업 확장도 본격화하고 있다. 현재 FDA 승인을 기다리고 있는 뇌 볼륨 측정 AI 솔루션을 시작으로, 지방량 측정, 전립선 진단 등 다양한 바디 파트로 확장해 나갈 계획이다. 2022년 합병한 체외진단 기업 RTQ의 기술과 결합해 ‘종합적인 예방 의료 솔루션’을 제공하겠다는 것이 에어스메디컬의 중장기 비전이다.

    박 CFO는 의료 AI 산업 전반에 대해서는 “한국이 초기 단계에서는 정부 지원이 잘 돼 있지만, 글로벌 스케일업 단계에서의 지원은 아직 제한적”이라며 “더 많은 글로벌 성공 사례를 만들기 위해서는 해외 진출 지원의 규모와 방향이 다양화돼야 한다”고 제언했다.

최신뉴스