디지털헬스

딥러닝 CT 분석으로 루게릭병 예후 예측…서울대병원, 새 검사 지표 개발

기사입력 2025.06.23 11:26
  • 서울대병원 연구팀이 딥러닝 기술을 활용해 루게릭병 환자의 흉부 CT 영상에서 폐와 호흡근 부피를 정량적으로 분석하고, 이를 기반으로 새로운 호흡 기능 검사 지표를 개발했다. 기존 폐활량 검사로는 평가가 어려웠던 환자군에서 예후 예측의 새로운 가능성을 확인한 점이 주목된다.

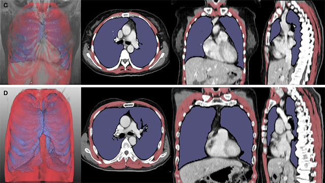
  • 루게릭병 환자의 흉부 CT 분석 결과. 폐 용적 지수(LVI, 보라색)와 호흡근 용적 지수(RMI, 빨간색)가 낮은 환자는 높은 환자보다 생존 기간(위 5개월 vs 아래 43개월)이 짧았다. /사진 제공=서울대병원
    ▲ 루게릭병 환자의 흉부 CT 분석 결과. 폐 용적 지수(LVI, 보라색)와 호흡근 용적 지수(RMI, 빨간색)가 낮은 환자는 높은 환자보다 생존 기간(위 5개월 vs 아래 43개월)이 짧았다. /사진 제공=서울대병원

    서울대병원 신경과 최석진·성정준 교수(김종수 전문의)와 영상의학과 박창민·최규성 교수 공동 연구팀은 루게릭병 환자 261명의 흉부 CT 영상을 딥러닝 기술로 분석한 결과를 23일 발표했다.

    루게릭병은 운동신경세포가 점진적으로 파괴돼 근육 마비와 위축을 초래하는 치명적인 신경퇴행성 질환이다. 병이 진행되면 호흡근 마비로 이어져 발병 3~4년 이내에 호흡부전으로 사망에 이르는 경우가 많다. 이에 환자들은 주기적으로 폐활량 검사를 통해 호흡 기능을 평가받지만, 구음장애나 구강안면 근육 약화가 동반된 환자는 검사 정확도가 떨어지는 한계가 있었다.

    연구팀은 루게릭병 환자의 CT 영상에서 폐와 호흡근의 용적 지수를 정량화한 새로운 지표를 개발했다. 구체적으로, 폐 용적 지수(LVI)와 호흡근 용적 지수(RMI)를 산출해 병기 및 생존 기간과의 상관관계를 분석했다. 두 지수는 폐와 호흡근 부피(㎤)를 키의 제곱(㎡)으로 나눈 값이다.

  • 폐 용적 지수(LVI)와 호흡근 용적 지수(RMI)가 낮은 그룹은 높은 그룹 대비  기관절개술 또는 사망에 이르는 시점이 빠름 /이미지 제공=서울대병원
    ▲ 폐 용적 지수(LVI)와 호흡근 용적 지수(RMI)가 낮은 그룹은 높은 그룹 대비 기관절개술 또는 사망에 이르는 시점이 빠름 /이미지 제공=서울대병원

    분석 결과, LVI와 RMI는 병기가 증가할수록 유의하게 감소했으며, 두 지수가 낮은 환자군은 기관절개술이나 사망에 이르는 시점이 상대적으로 빨랐다. 통계 분석에서도 이 지수들은 기존 폐활량 검사와 유사한 정확도로 예후 평가에 활용될 수 있음을 확인했다. 특히 구음장애 환자군에서도 일관된 결과가 도출돼, 영상 기반 지표가 기존 검사의 한계를 보완할 수 있는 가능성을 보여줬다.

    이번 연구 결과는 국제 학술지 ‘래디올로지(Radiology, IF;15.2)’ 최근호에 게재됐다.

    연구팀은 ‘대규모 루게릭병 코호트에서 딥러닝 분석을 통해 영상 기반 정량 지표의 예후적 가치를 입증한 최초 사례’라며, ‘향후 영상 데이터가 루게릭병 진단과 임상 결정에 실질적으로 기여할 것으로 기대된다’고 말했다.

최신뉴스